Types Of Consolidation Chest X Ray . Learn how to identify consolidation on. consolidation is increased lung attenuation that obscures bronchial walls and blood vessels on ct. consolidation is the replacement of gas within the airspaces by fluid, protein, cells, or other material. Learn about the causes, patterns, signs,. consolidation is a type of airspace disease that obscures the lung vasculature on chest radiography.
from www.researchgate.net
consolidation is the replacement of gas within the airspaces by fluid, protein, cells, or other material. Learn about the causes, patterns, signs,. Learn how to identify consolidation on. consolidation is increased lung attenuation that obscures bronchial walls and blood vessels on ct. consolidation is a type of airspace disease that obscures the lung vasculature on chest radiography.
Chest Xray demonstrating extensive consolidation superimposed on
Types Of Consolidation Chest X Ray Learn how to identify consolidation on. Learn about the causes, patterns, signs,. consolidation is the replacement of gas within the airspaces by fluid, protein, cells, or other material. consolidation is increased lung attenuation that obscures bronchial walls and blood vessels on ct. Learn how to identify consolidation on. consolidation is a type of airspace disease that obscures the lung vasculature on chest radiography.
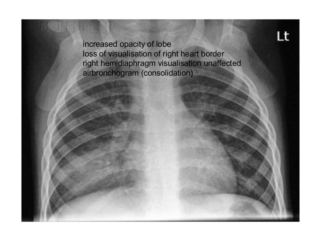
From medschool.co
Pulmonary Consolidation Chest XRay MedSchool Types Of Consolidation Chest X Ray consolidation is a type of airspace disease that obscures the lung vasculature on chest radiography. Learn how to identify consolidation on. Learn about the causes, patterns, signs,. consolidation is the replacement of gas within the airspaces by fluid, protein, cells, or other material. consolidation is increased lung attenuation that obscures bronchial walls and blood vessels on ct. Types Of Consolidation Chest X Ray.
From www.researchgate.net
Chest xray showing findings of pneumonic consolidation in the Types Of Consolidation Chest X Ray consolidation is a type of airspace disease that obscures the lung vasculature on chest radiography. Learn about the causes, patterns, signs,. consolidation is increased lung attenuation that obscures bronchial walls and blood vessels on ct. Learn how to identify consolidation on. consolidation is the replacement of gas within the airspaces by fluid, protein, cells, or other material. Types Of Consolidation Chest X Ray.
From www.artofit.org
Chest x ray chest radiography nurse study guide Artofit Types Of Consolidation Chest X Ray consolidation is the replacement of gas within the airspaces by fluid, protein, cells, or other material. consolidation is a type of airspace disease that obscures the lung vasculature on chest radiography. Learn how to identify consolidation on. consolidation is increased lung attenuation that obscures bronchial walls and blood vessels on ct. Learn about the causes, patterns, signs,. Types Of Consolidation Chest X Ray.
From ar.inspiredpencil.com
Chest X Ray Consolidation Types Of Consolidation Chest X Ray consolidation is increased lung attenuation that obscures bronchial walls and blood vessels on ct. consolidation is a type of airspace disease that obscures the lung vasculature on chest radiography. Learn about the causes, patterns, signs,. Learn how to identify consolidation on. consolidation is the replacement of gas within the airspaces by fluid, protein, cells, or other material. Types Of Consolidation Chest X Ray.
From www.researchgate.net
Chest Xray. AP projection. Consolidation expanded the right upper Types Of Consolidation Chest X Ray consolidation is increased lung attenuation that obscures bronchial walls and blood vessels on ct. Learn about the causes, patterns, signs,. Learn how to identify consolidation on. consolidation is the replacement of gas within the airspaces by fluid, protein, cells, or other material. consolidation is a type of airspace disease that obscures the lung vasculature on chest radiography. Types Of Consolidation Chest X Ray.
From www.sciencephoto.com
Pulmonary consolidation, Xray Stock Image C008/9854 Science Types Of Consolidation Chest X Ray Learn how to identify consolidation on. consolidation is a type of airspace disease that obscures the lung vasculature on chest radiography. Learn about the causes, patterns, signs,. consolidation is the replacement of gas within the airspaces by fluid, protein, cells, or other material. consolidation is increased lung attenuation that obscures bronchial walls and blood vessels on ct. Types Of Consolidation Chest X Ray.
From cejyvcko.blob.core.windows.net
Consolidation Chest XRay Definition at Ethan James blog Types Of Consolidation Chest X Ray consolidation is increased lung attenuation that obscures bronchial walls and blood vessels on ct. Learn how to identify consolidation on. consolidation is a type of airspace disease that obscures the lung vasculature on chest radiography. consolidation is the replacement of gas within the airspaces by fluid, protein, cells, or other material. Learn about the causes, patterns, signs,. Types Of Consolidation Chest X Ray.
From ar.inspiredpencil.com
Chest X Ray Consolidation Vs Infiltrate Types Of Consolidation Chest X Ray Learn about the causes, patterns, signs,. consolidation is increased lung attenuation that obscures bronchial walls and blood vessels on ct. Learn how to identify consolidation on. consolidation is a type of airspace disease that obscures the lung vasculature on chest radiography. consolidation is the replacement of gas within the airspaces by fluid, protein, cells, or other material. Types Of Consolidation Chest X Ray.
From radiologyassistant.nl
The Radiology Assistant Chest XRay Lung disease Types Of Consolidation Chest X Ray consolidation is a type of airspace disease that obscures the lung vasculature on chest radiography. consolidation is increased lung attenuation that obscures bronchial walls and blood vessels on ct. Learn about the causes, patterns, signs,. Learn how to identify consolidation on. consolidation is the replacement of gas within the airspaces by fluid, protein, cells, or other material. Types Of Consolidation Chest X Ray.
From www.slideshare.net
Collapse and consolidation Lung Radiology Types Of Consolidation Chest X Ray consolidation is the replacement of gas within the airspaces by fluid, protein, cells, or other material. consolidation is a type of airspace disease that obscures the lung vasculature on chest radiography. consolidation is increased lung attenuation that obscures bronchial walls and blood vessels on ct. Learn how to identify consolidation on. Learn about the causes, patterns, signs,. Types Of Consolidation Chest X Ray.
From medschool.co
Pulmonary Consolidation Chest XRay MedSchool Types Of Consolidation Chest X Ray Learn about the causes, patterns, signs,. consolidation is the replacement of gas within the airspaces by fluid, protein, cells, or other material. consolidation is a type of airspace disease that obscures the lung vasculature on chest radiography. Learn how to identify consolidation on. consolidation is increased lung attenuation that obscures bronchial walls and blood vessels on ct. Types Of Consolidation Chest X Ray.
From www.researchgate.net
Chest Xray posteroanterior view showing areas of consolidation in Types Of Consolidation Chest X Ray consolidation is the replacement of gas within the airspaces by fluid, protein, cells, or other material. consolidation is increased lung attenuation that obscures bronchial walls and blood vessels on ct. consolidation is a type of airspace disease that obscures the lung vasculature on chest radiography. Learn how to identify consolidation on. Learn about the causes, patterns, signs,. Types Of Consolidation Chest X Ray.
From www.researchgate.net
Chest Xray showing rightsided consolidation. Download Scientific Types Of Consolidation Chest X Ray consolidation is a type of airspace disease that obscures the lung vasculature on chest radiography. consolidation is increased lung attenuation that obscures bronchial walls and blood vessels on ct. Learn how to identify consolidation on. consolidation is the replacement of gas within the airspaces by fluid, protein, cells, or other material. Learn about the causes, patterns, signs,. Types Of Consolidation Chest X Ray.
From www.svuhradiology.ie
Right upper lobe consolidation CXR Radiology at St. Vincent's Types Of Consolidation Chest X Ray Learn about the causes, patterns, signs,. consolidation is increased lung attenuation that obscures bronchial walls and blood vessels on ct. Learn how to identify consolidation on. consolidation is a type of airspace disease that obscures the lung vasculature on chest radiography. consolidation is the replacement of gas within the airspaces by fluid, protein, cells, or other material. Types Of Consolidation Chest X Ray.
From www.cureus.com
Cureus Conservative Approach and Management of Complicated Lung Abscess Types Of Consolidation Chest X Ray consolidation is a type of airspace disease that obscures the lung vasculature on chest radiography. consolidation is the replacement of gas within the airspaces by fluid, protein, cells, or other material. consolidation is increased lung attenuation that obscures bronchial walls and blood vessels on ct. Learn about the causes, patterns, signs,. Learn how to identify consolidation on. Types Of Consolidation Chest X Ray.
From openi.nlm.nih.gov
Chest Xray showing right dominant lung consolidation. Openi Types Of Consolidation Chest X Ray Learn about the causes, patterns, signs,. Learn how to identify consolidation on. consolidation is the replacement of gas within the airspaces by fluid, protein, cells, or other material. consolidation is increased lung attenuation that obscures bronchial walls and blood vessels on ct. consolidation is a type of airspace disease that obscures the lung vasculature on chest radiography. Types Of Consolidation Chest X Ray.
From www.researchgate.net
Chest Xray demonstrating extensive consolidation superimposed on Types Of Consolidation Chest X Ray Learn how to identify consolidation on. consolidation is a type of airspace disease that obscures the lung vasculature on chest radiography. Learn about the causes, patterns, signs,. consolidation is increased lung attenuation that obscures bronchial walls and blood vessels on ct. consolidation is the replacement of gas within the airspaces by fluid, protein, cells, or other material. Types Of Consolidation Chest X Ray.
From www.researchgate.net
Chest X‐ray showing bilateral consolidation of lungs Download Types Of Consolidation Chest X Ray consolidation is increased lung attenuation that obscures bronchial walls and blood vessels on ct. Learn about the causes, patterns, signs,. consolidation is a type of airspace disease that obscures the lung vasculature on chest radiography. Learn how to identify consolidation on. consolidation is the replacement of gas within the airspaces by fluid, protein, cells, or other material. Types Of Consolidation Chest X Ray.